

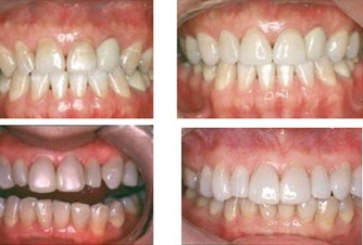
很多人的牙齿会因为各种原因而留下色素,黑色、黄色、灰色等等,非常难看,给人带来很多烦恼。有的的色素是因为外部的沉着,比如说刷牙不及时、烟渍、茶渍、咖啡渍等等,有的是因为当地的水质问题造成的氟斑牙、或者是服用四环素造成的四环素牙,还有是因为牙齿受伤等神经坏死的黑色死髓牙等等很多原因,这个时候,人们会选择很多方法去想尽办法进行美白,目前有一种美白方法是应用相对较多,针对中重度的色素牙的不错的方案,就是牙齿贴面修复。

牙齿贴面修复原理
就是把牙齿表面磨去一层,然后再用修复材料直接或间接粘结覆盖,以恢复牙体形态、改善色泽。
牙齿贴面修复的种类
1、瓷贴面
瓷贴面可以说是贴面家族里的贵族,制作过程比较复杂,技术、材料要求很高,仿真度高,美观效果好,材质稳定耐久。瓷贴面是现在国外牙齿美容修复的主流,当然费用也比较高。
2、硬质贴面
也叫硬质树脂贴面、超瓷贴面、类瓷贴面。其材质是树脂中加入了大量的瓷粉颗粒,不但提高了树脂的耐磨度,也极大的提高了树脂的美观性。其临床操作过程与瓷贴面类似。
3、树脂贴面
直接用树脂在患者口内制作的贴面,其的优点是方便、快捷、迅速。可以快速改善患者的前牙美观。对于前牙氟斑牙、轻度四环素牙、过小牙、牙间隙、外伤牙部分缺损等情况,如果患者短期内无法接受瓷贴面以及超瓷贴面的费用,不失为短期改善美观的过渡性修复体。