据美联臣精品美容牙科临床统计,成人需要牙齿美容的患者,一部分是四环素牙要求美白的,另外绝大部分就是前牙排列畸形要求整形的。那么,畸形错位牙该怎么修呢?
畸形错位牙首先考虑的是通过MBT直丝弓正畸或ANGEL隐形正畸等技术矫正牙齿。但对于绝大部分成人来说,是可望而不可即的事情。近两年的周期治疗、每周一次的复诊、初期的疼痛,这都使那些想美丽牙齿的人望而却步。临床上,对于畸形错位牙,应用更多的还是电脑烤瓷牙技术。

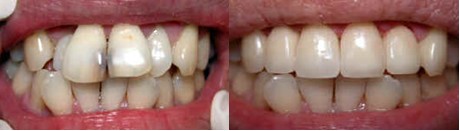
电脑全瓷牙
电脑全瓷牙的适应症很广泛,严重的牙列不齐、牙缝过大(间隙≥2mm)、畸形错位牙等都可以通过它来修复美容。近年来,全瓷牙修复已经成为现代牙齿美容的新时尚。
优点:透光+逼真
1 是内冠由瓷质材料制作而成,而非金属材料,这就决定了电脑全瓷牙的透光性更接近于真牙。
2 二是通过CAD/CAM量身定做,经电脑感应扫描加工后模拟出牙齿的外形,再由电脑设计出虚拟的牙冠外形进行制作,所以假牙的形态更好、更逼真。
其很突出的优点是外观逼真、磨牙少苦、不损伤牙髓、无过敏、无黑边、质量轻。如果能正确使用、定期维护,使用一般能在10年以上。
就诊2次7天完成
第1次就诊:主要是牙体预备、取模、戴甲冠(临时牙)、比色
第2次是调试、粘结。
前牙美容须三思而行
您也许并不明白:同样是四环素牙,为什么有的人用冷光美白,有的人用烤瓷牙?同样是牙列不整齐,有的人用烤瓷牙,有的人却需要戴矫治器?美白牙齿,为什么要先补牙?镶烤瓷牙,为什么要先局部正畸?
您也许还不明白如下的美学原理:长脸的人配鸡蛋形的牙比较好看;方形脸的人牙齿应该也有点棱角;年纪大的人牙齿平滑光泽,会显得更加年轻。
细节决定成败
美联臣精品美容牙科医生在实行前牙美容时,会采用“360°整体美学设计系统”对牙齿进行整体分型和设计,着重研究患者牙齿的色泽、形态、大小、质地、排列、咬合关系及其与容貌形态的协调关系,同时采用治疗、美白、修复相结合的手段增进牙齿的美感,以满足患者对功能和美观的双重需要,杜绝“添一份美丽,减十份健康”的美齿方案。