

牙齿松动了怎么办?很多患者对松动牙的认识存在着两种误区,一种是认为凡松动牙都该拔除,另一种则认为松动牙宁任其自行脱落也不愿拔除。其实以上两种观点都是有偏差的。
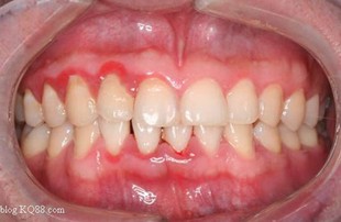
牙齿松动表现为:牙齿松动的原因有可以是受外力撞击引起,牙周病牙龈萎缩引起、年老牙龈营养性萎缩造成牙齿松动,严重后是牙齿脱落,前一种是属于外力引起松动,后两种情况都属于牙龈出现问题。这在医学角度来说属于牙龈的营养性营养或牙周病严重引起的萎缩,但最终都归根为牙龈本身没有营养供给而造成萎缩牙齿松动。

由外伤造成的牙齿松动,若轻度松动,可服用消炎药,一但炎症消退,牙齿即可自动恢复稳固状态;若松动严重或脱位、移位时,就应把牙齿复位,然后结扎固定于相邻的牙齿上,并服用消炎药,保持口腔卫生,短期内禁用此牙等等,过l—2个月此牙即可恢复正常。
牙周炎或根尖周炎急性发作时出现的牙齿松动,治疗主要是控制炎症,一旦急性炎症缓解,牙齿松动情况也能减轻或消失。
个别牙咬合力量过大或咬合关系异常时出现的牙齿松动,一般经医生调整咬合后,消除咬合创伤,牙槽骨能自我修复,牙齿也可恢复稳固状态。

据统计,中国70岁以上仍保持着20颗以上牙齿的人很少。所以建议大家要注重口腔保养、三餐后坚持刷牙、一年洗一次牙。对于松动的牙齿不要轻言拔除,而应该查明病因,妥善治疗,越早期就诊,其疗效就越佳。